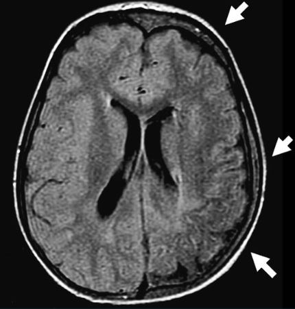
תסמונת סטרג'־וובר (Sturge-Weber Syndrome, SWS) היא מחלה נוירו־קוטנאית נדירה, המתבטאת כבר בלידה בכתם עור אופייני. תסמונת זו מצריכה טיפול בגישה

תסמונת סטרג'־וובר (Sturge-Weber Syndrome, SWS) היא מחלה נוירו־קוטנאית נדירה, המתבטאת כבר בלידה בכתם עור אופייני. תסמונת זו מצריכה טיפול בגישה
הטיפול יקבע בהתאם למצב הרפואי של כל ילד וילדה: דיקור – לטיפול בכאבים, חרדות ובעיות שינה; אוסטאופתיה – להקלה
כאב בטן הוא התלונה הכי נפוצה אצל ילדים והיא כוללת בתוכה מגוון של אבחנות מבדלות שיכולות להסביר את הכאב של
מרכז 'מראות' נותן מענה אבחוני וטיפולי לילדים ונוער בגילאי 6-18 , המופנים לאבחון בשאלת הפרעת הספקטרום האוטיסטי, במסגרת סל הבריאות.
המרפאה מיועדת להערכה ריאתית לקראת צו ראשון או בעקבות הפנייה מצה"ל. ד"ר מורן לביא, מנהלת יחידת ריאות ילדים בבית החולים
גם השנה צוות המרכז החינוכי של דנה הגיע למחלקות האשפוז עם חנות נודדת עמוסה בתחפושות, אביזרים והרבה אהבה. ראינו עיניים
בביה"ח דנה קיימנו יום עיון לפרמדיקים מנהלי צוותים של מד״א, בהובלת מלר"ד דנה בניהולן המקצועי של ד״ר איילת רימון וד״ר
ג’ייק, ג’ון ודיוויד, שחקני מכבי תל אביב בכדורסל, הגיעו לשמח את הילדים במחלקות ובשיקום וחילקו להם כדורים חתומים, צעיפים ומתנות
ד״ר אלקסיס מיטלפונקט, מומחה בנוירולוגיה ילדים ורפואת ילדים ומנהל שיקום ילדים ונוער: ״המרחב החדש תוכנן במיוחד כדי לתמוך בערכי הליבה
מעל 120 נשות ואנשי צוות השתתפו ביום המחקר השנתי של ביה"ח לילדים: רופאות.ים מתמחות.ים, מתמחות.י על, מנהלות.ים, אחיות.ים, ודיאטניות, אשר